Cabinet dentaire des docteurs BRAMI et BIANCHETTI
Urgences dentaires ♦ Omnipratique ♦ Implantologie ♦ Esthétique dentaire ♦ Prothèses dentaires
Urgences dentaires ♦ Omnipratique ♦ Implantologie ♦ Esthétique dentaire ♦ Prothèses dentaires

CABINET DENTAIRE DES DOCTEURS BRAMI ET BIANCHETTI

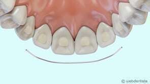
Fil de contention

video-play-icon

Articles similaires

Derniers articles

La chirurgie orthognatique – rétrognathie maxillaire

La chirurgie orthognatique – rétrognathie maxillaire

13 Nov 2024
La chirurgie orthognatique – correction de l’asymétrie faciale

La chirurgie orthognatique – correction de l’asymétrie faciale

13 Nov 2024
La chirurgie orthognatique – correction de béance antérieure

La chirurgie orthognatique – correction de béance antérieure

13 Nov 2024

Catégories

Création par Webdentiste

Connexion